






Dentist Burwood > Dental Problems > Dental Fluorosis
Dental Fluorosis: Understanding the Causes, Symptoms, and Treatment Options
Welcome to our comprehensive guide on dental fluorosis, a common dental condition that affects millions of people worldwide. In this article, we will delve deep into the causes, symptoms, and treatment options for this condition, providing you with the knowledge to understand and manage dental fluorosis effectively.
What is Dental Fluorosis?
Dental fluorosis occurs when excessive fluoride is absorbed during tooth development, resulting in changes in the appearance of the tooth enamel. While fluoride is essential for healthy teeth, overexposure to fluoride can lead to unsightly white spots, streaks, or even brown stains on the teeth.
Fluorosis can vary in severity, ranging from mild to severe, and its impact on the aesthetics and overall health of your smile can differ accordingly. It is important to understand the causes and symptoms of dental fluorosis to prevent and address this condition effectively.

Causes of Dental Fluorosis
The primary cause of dental fluorosis is the ingestion of excessive amounts of fluoride during tooth development. This can occur through various sources such as water, toothpaste, mouth rinses, and even certain foods and beverages.
Fluoride is naturally present in water sources, and many communities add fluoride to their water supply as a preventive measure against tooth decay. While this is beneficial, excessive fluoride intake can lead to fluorosis. Similarly, using fluoride toothpaste in excessive amounts or swallowing it instead of spitting it out can contribute to fluorosis development.
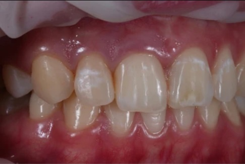
Symptoms and Signs of Dental Fluorosis
The symptoms and signs of dental fluorosis can vary depending on the severity of the condition. In mild cases, there may be barely noticeable white streaks or spots on the enamel. However, as the severity increases, the appearance of the teeth can be significantly affected.
Moderate to severe fluorosis can lead to brown stains, pitting, or cracking of the enamel, making the teeth more susceptible to tooth decay and sensitivity. It is important to be aware of these symptoms and consult with a dental professional for an accurate diagnosis and appropriate treatment.
Diagnosing Dental Fluorosis
Diagnosing dental fluorosis typically involves a visual examination by a dental professional. They will assess the appearance of the tooth enamel and determine the severity of the condition. In some cases, dental X-rays may be necessary to evaluate the underlying structure of the teeth and assess any potential complications.
It is important to note that dental fluorosis can sometimes be mistaken for other dental conditions, such as enamel hypoplasia or dental caries. Therefore, seeking professional guidance is crucial for an accurate diagnosis.

Preventing Dental Fluorosis
Preventing dental fluorosis is essential to maintain healthy and beautiful teeth. Here are some practical tips to minimise the risk of fluorosis:
- Monitor fluoride intake
Be aware of the fluoride content in your drinking water and consider using alternative sources if necessary. It is also important to ensure that young children do not swallow toothpaste and use age-appropriate fluoride toothpaste.
- Limit fluoride exposure from other sources
Pay attention to other sources of fluoride, such as mouth rinses and certain foods and beverages. Monitoring and moderating fluoride intake can help prevent excessive exposure.
- Seek professional guidance
Consult with a dental professional to understand the fluoride levels in your water supply and discuss appropriate preventive measures. They can guide you on the best practices for maintaining optimal oral health.

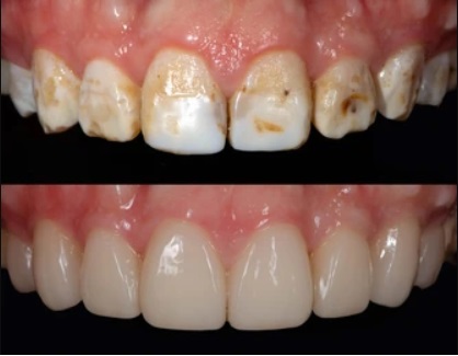
Treatment Options for Dental Fluorosis
If you or a loved one is already experiencing dental fluorosis, there are treatment options available to improve the appearance of the teeth. The choice of treatment will depend on the severity of the condition and individual preferences. Some common treatment options include:
- Microabrasion:
This minimally invasive procedure involves removing a thin layer of enamel to reduce the appearance of stains and discolouration.
- Teeth whitening:
Professional teeth whitening treatments can help lighten the appearance of fluorosis stains and improve the overall aesthetics of the teeth.
- Dental bonding:
In cases where the fluorosis has caused more severe damage, dental bonding can be used to cover the affected areas and restore the natural appearance of the teeth.
- Veneers or crowns:
For severe cases of dental fluorosis, veneers or crowns may be recommended to cover the affected teeth completely and provide a long-lasting solution.
Dental Fluorosis and Oral Health
While dental fluorosis primarily affects the appearance of the teeth, it is important to recognize its potential impact on oral health as well. The changes in the enamel caused by fluorosis can make the teeth more susceptible to tooth decay, sensitivity, and staining. Therefore, maintaining a good oral hygiene routine and regular dental check-ups are crucial to prevent further complications.
The Importance of Fluoride in Dental Care
Despite the potential risks of excessive fluoride intake, it is important to acknowledge the benefits of fluoride in maintaining good oral health. Fluoride helps strengthen the tooth enamel, making it more resistant to acid attacks and tooth decay. It is a valuable preventive measure when used in appropriate amounts.
Therefore, it is essential to strike a balance and ensure optimal fluoride intake by following dental professionals’ recommendations and practicing good oral hygiene habits.

Dental Fluorosis Myths Debunked
There are several common myths and misconceptions surrounding dental fluorosis. Let’s debunk some of these myths to separate fact from fiction:
- Myth:
Dental fluorosis is caused by fluoride in drinking water alone. Fact: While excessive fluoride in drinking water can contribute to fluorosis, it is not the sole cause. Fluoride from other sources, such as toothpaste and mouth rinses, can also play a significant role.
- Myth:
Fluorosis only affects children. Fact: Fluorosis can affect individuals of all ages, including adults. However, it is more commonly observed during tooth development in childhood.
- Myth:
Dental fluorosis is irreversible. Fact: While severe cases of dental fluorosis may be challenging to treat, there are various treatment options available to improve the appearance of the teeth and manage the condition effectively.

Conclusion
Dental fluorosis is a common dental condition that can impact the aesthetics and overall health of your smile. By understanding the causes, symptoms, and treatment options, you can take proactive steps to prevent fluorosis and address any existing concerns. Remember to consult with a dental professional for personalized guidance and maintain good oral hygiene practices to ensure a healthy and beautiful smile.
So, empower yourself with knowledge and make informed choices to maintain optimal oral health. Your smile deserves it!
Sources
- Dean JA. McDonald and Avery’s Dentistry for the Child and Adolescent. 10th ed. Elsevier Health Sciences. ISBN 978-0-323-28746-3.
- Neville BW, Chi AC, Damm DD, Allen CM. Oral and Maxillofacial Pathology. 4th ed. Elsevier Health Sciences. ISBN 978-1-4557-7052-6.
- Wong MC, Glenny AM, Tsang BW, Lo EC, Worthington HV, Marinho VC. “Topical fluoride as a cause of dental fluorosis in children”. The Cochrane Database of Systematic Reviews. 2010 (1): CD007693. doi:10.1002/14651858.CD007693.pub2.
- Bergc JH, Slayton RL. Early Childhood Oral Health. John Wiley & Sons. ISBN 978-1-118-79210-0.
- Meiers P. “HT Dean´s epidemiology of Mottled Teeth”. The History of Fluorine, Fluoride and Fluoridation.
- Whelton H, Browne D, Felicia P, Whelton J. “E-training for Dean’s Index Version 2”. Oral Health Services Research Centre, University College Cork, Ireland.
- Abanto Alvarez J, Rezende KM, Marocho SM, Alves FB, Celiberti P, Ciamponi AL. “Dental fluorosis: exposure, prevention and management”
Looking for a Cosmetic Dentist to enhance your smile but not sure what treatments would work for you?
Look no further than our No Obligation Cosmetic Smile Evaluation.
Our comprehensive evaluation, which includes a teeth assessment and head x-ray, equips our expert dentist Burwood to offer you personalized cosmetic treatment advice tailored to your oral health and facial structure. Aimed at enhancing your smile to its fullest potential, our no-obligation consultation will empower you with in-depth knowledge and recommendations.
Start your smile transformation journey today!