Related Pages
Achieve an aesthetically pleasing smile with our Cosmetic Dentists Sydney.
Cosmetic dentistry and smile makeovers at our Burwood dental clinic continue to help hundreds of patients each year by utilising the latest digital dentistry technology to carefully diagnose, plan, and treat each patient’s individual circumstances.
What is Cosmetic Dentistry?
In fact, the reference cosmetic dentistry refers to any and all dental work that enhances the overall appearance of one’s teeth, gums, and or bites. Its primary focus is to improve dental aesthetics by treating colour, shape, size, position and overall smile appearance.


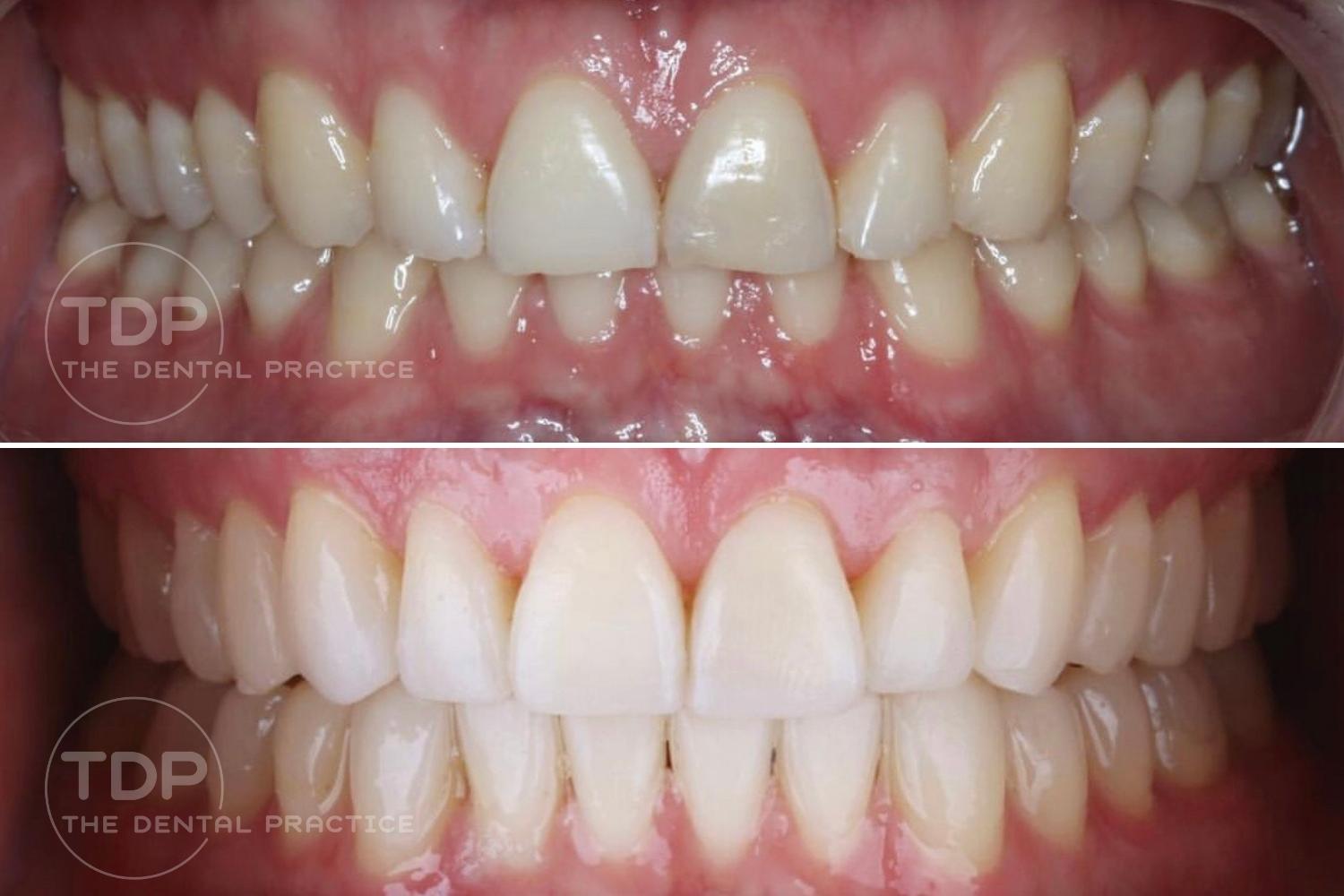
Some Successful Sydney Cosmetic Dentist Transformations
Explore some of our favourite Cosmetic Smile before & after transformation photos from our wonderful patients.
Treatment performed by Registered Dental Practitioners, note results may vary. AHPRA No. 𝗗𝗘𝗡𝟬𝟬𝟬𝟭𝟭𝟲𝟰𝟭𝟱𝟴
- Service name - Invisalign
- Service period - 24 Months
- Service name - Invisalign
- Service period - 24 Months
- Service name - Invisalign
- Service period - 24 Months
- Service name - Invisalign
- Service period - 24 Months
How much does Cosmetic Dental Treatments cost in Sydney?
The price of a cosmetic dental procedure is dependent on the procedure you want and the current condition of your teeth relevant to the procedure.
However, to give you an idea of prices, we have created a table that showed the average prices for cosmetic dental treatments.

What are the benefits of going to see a Cosmetic Dentist?
Working with a cosmetic dentist to improve your smile has a lot of positive benefits aside from the well known aesthetic ones.
- Improve appearance:
Cosmetic dentists have professional experience utilising the latest digital-dentistry technology to improve one’s overall dental appearance.
- Self-Wellbeing
Improving dental appearance may have benefits beyond function, such as supporting confidence.
- Enable better functionality:
Correcting broken & missing teeth or incorrect alignment can achieve normal functionality when it comes to eating.
- Sustain adequate oral health:
Rectifying oral problems minimises the risk of future oral complications and bone deterioration.

How to get the best result from your cosmetic dental treatment?
Cosmetic dentistry is subjective, which is why it’s important to have an idea of what you would like before selecting the cosmetic dentist who will perform the procedure.
Once you have identified the desired outcome then seek confirmation through consultation and compare your desired outcome with the previous results the dentist has achieved.
Looking for a Cosmetic Dentist to enhance your smile but not sure what treatments would work for you?
Look no further than our No Obligation Cosmetic Smile Evaluation.
Our comprehensive evaluation, which includes a teeth assessment and head x-ray, equips our expert dentists to offer you personalised cosmetic treatment advice tailored to your oral health and facial structure. Aimed at enhancing your smile to its fullest potential, our no-obligation consultation will empower you with in-depth knowledge and recommendations.
Start your smile transformation journey today!
Cosmetic Dentist Frequently Asked Questions
Cosmetic procedures are always about the aesthetics how the most important factor of any Cosmetic Dentistry is actually functionality first. Here at the dental practice we always take a functionality first approach in order to make sure the investment you make provides great long term success without any negatives due to poor functionality.
There are no age limits to recieve cosmetic dental treatments. However, if you are under the age of 18 you may be required to have a parental guardian available to assess the treatment risks before any treatment takes place.
If you are a nervous patient when it comes to sitting in the dental chair we can also provide you with multiple solutions that can make the overall experience more comfortable. One of those may be sleep dentistry however we generally use that for surgery rather than minimal invasive cosmetic treatments.







