






Dentist Burwood > Dental Problems > Enamel Erosion
Enamel Erosion: Protecting Your Teeth and Maintaining Optimal Dental Health
Are you concerned about the health of your teeth? Enamel erosion can be a major cause for worry. This condition occurs when the protective layer of your teeth, called enamel, starts to wear away due to various factors. From acidic foods and drinks to tooth grinding and brushing too hard, enamel erosion can be caused by a multitude of reasons. But what exactly is enamel erosion, and how does it impact your dental health?
In this article, we will delve into the world of enamel erosion and explore its causes, symptoms, and preventative measures. You will learn about the importance of enamel and why it serves as a shield for your teeth against decay and sensitivity. We will also discuss the warning signs of enamel erosion and how it can lead to more severe dental problems if left untreated.
Join us as we embark on this journey to understand enamel erosion and discover effective ways to protect your teeth and maintain optimal dental health.
What is Enamel Erosion?
Enamel erosion, also known as enamel loss or dental erosion, refers to the gradual wearing away of the outer layer of your teeth – the enamel. Enamel is the hardest substance in the human body and serves as a protective barrier for your teeth. It shields the underlying dentin and pulp from exposure to bacteria, acids, and temperature changes.

Causes of Enamel Erosion
Enamel erosion can be caused by a variety of factors, both internal and external. One of the primary culprits is the consumption of acidic foods and drinks. Regularly consuming citrus fruits, carbonated drinks, and acidic beverages like coffee and wine can gradually erode the enamel over time. Acidic foods and drinks soften the enamel, making it more susceptible to wear and tear.
Additionally, tooth grinding, also known as bruxism, can contribute to enamel erosion. The constant grinding and clenching of your teeth can cause the enamel to wear down, exposing the underlying dentin. This can lead to tooth sensitivity and increased susceptibility to decay.
Another common cause of enamel erosion is aggressive tooth brushing. Brushing your teeth too hard or using a toothbrush with hard bristles can wear down the enamel over time. It is important to use a soft-bristled toothbrush and practice gentle brushing techniques to avoid damaging your enamel.

Effects of Enamel Erosion on Oral Health
Enamel erosion can have significant implications for your oral health if left untreated. The gradual loss of enamel can lead to a range of dental problems, including:
- Tooth sensitivity:
Exposed dentin can result in heightened sensitivity, making it uncomfortable to consume hot, cold, sweet, or acidic foods and drinks.
- Tooth decay:
With the protective enamel layer compromised, bacteria can easily penetrate the tooth’s surface, leading to decay and cavities.
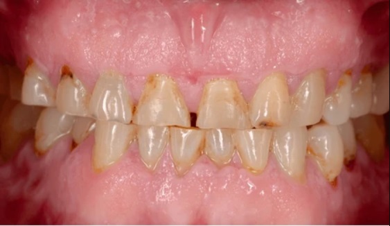
- Tooth discolouration:
As the enamel thins, the yellowish dentin beneath becomes more visible, causing the teeth to appear discoloured.
- Tooth loss:
In severe cases of enamel erosion, the teeth may become weak and brittle, increasing the risk of tooth loss.
- Gum problems:
Enamel erosion can also affect the gum tissue, leading to inflammation, gum recession, and gum disease.
Preventing Enamel Erosion through Proper Oral Hygiene
Taking proactive steps to prevent enamel erosion is vital for maintaining optimal dental health. Here are some strategies to protect your enamel:
- Brushing technique:
Use a soft-bristled toothbrush and gentle circular motions to clean your teeth. Avoid aggressive brushing that can wear down the enamel.
- Toothpaste selection:
Opt for a toothpaste that contains fluoride, as it helps strengthen and protect the enamel.
- Rinse with water:
After consuming acidic foods or drinks, rinse your mouth with water to help neutralize the acids and minimize their effects on the enamel.
- Wait before brushing:
Wait at least 30 minutes after consuming acidic foods or drinks before brushing your teeth. This allows time for the saliva to naturally neutralize the acids and protect your enamel.
- Regular dental check-ups:
Visit your dentist regularly for professional cleanings and check-ups. This helps detect enamel erosion at an early stage and allows for timely intervention.
Dietary and Lifestyle Changes to Protect Enamel
In addition to proper oral hygiene practices, making certain dietary and lifestyle changes can help protect your enamel from erosion. Consider the following:
- Limit acidic foods and drinks:
Minimise your consumption of acidic foods and drinks, such as citrus fruits, carbonated beverages, and acidic sauces.
- Drink through a straw:
When drinking acidic beverages, use a straw to minimize contact between the liquid and your teeth.
- Increase water intake:
Drinking water throughout the day helps maintain saliva flow, which plays a crucial role in neutralizing acids and protecting the enamel.
- Avoid tooth grinding:
If you grind your teeth, consult your dentist about treatment options such as a mouthguard to protect your teeth from further damage.
- Quit smoking:
Smoking not only stains the teeth but also weakens the enamel, making it more susceptible to erosion.
Treating Enamel Erosion - Professional Options
If enamel erosion has already occurred, there are professional treatment options available to help restore and protect your teeth. Your dentist may recommend:
- Dental bonding:
In this procedure, a tooth-coloured resin is applied to the affected teeth to restore their appearance and protect the exposed dentin.
- Dental crowns:
Severely eroded teeth may require dental crowns to provide additional protection and strength.
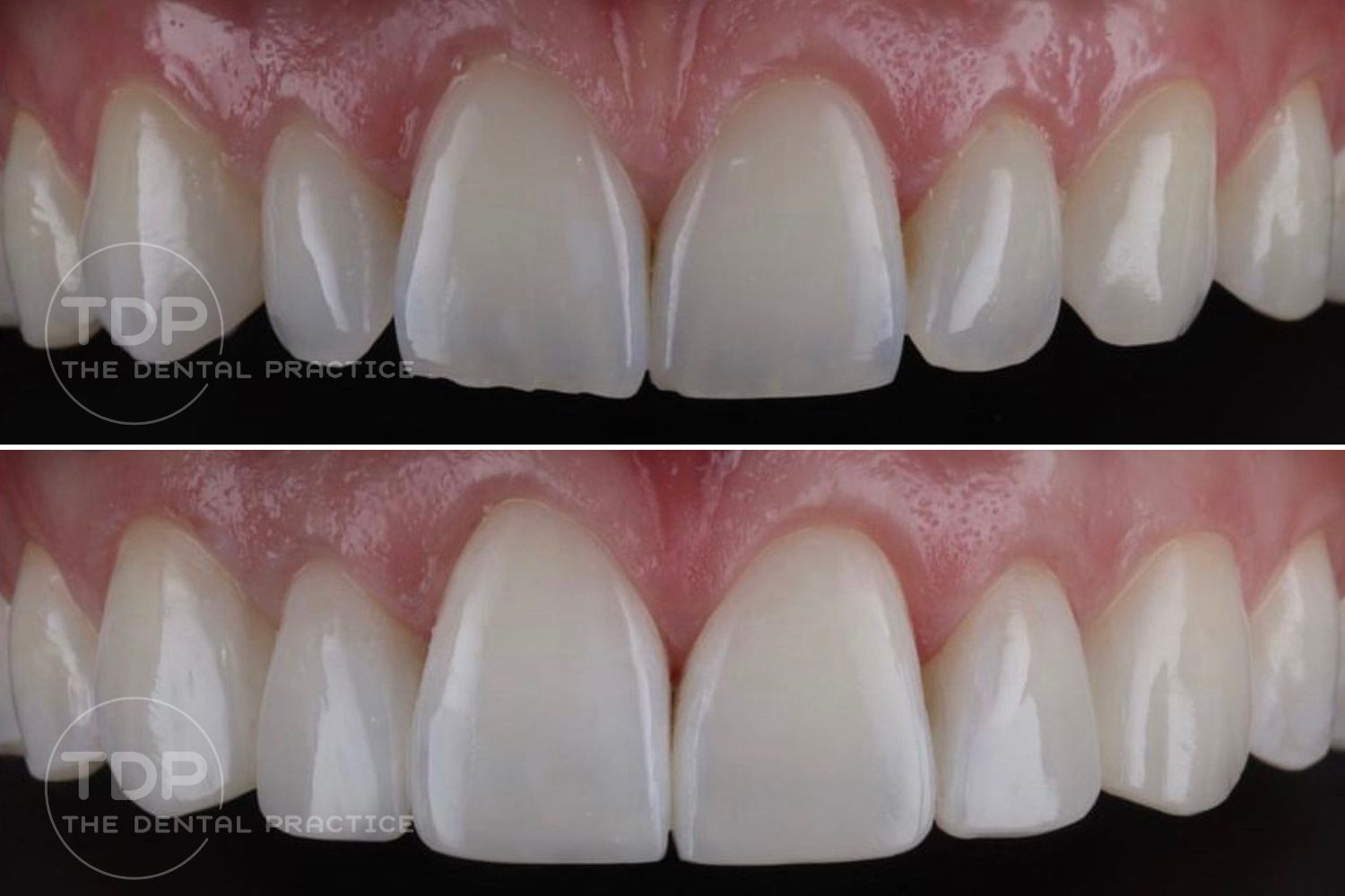
- Dental veneers:
Veneers are thin, custom-made shells that cover the front surface of the teeth, improving their appearance and providing an extra layer of protection.

Natural Remedies for Enamel Erosion
In addition to professional treatments, there are natural remedies that can help strengthen and protect your enamel:
- Oil pulling:
Swishing a tablespoon of coconut oil in your mouth for 15-20 minutes daily can help reduce harmful bacteria and promote oral health.
- Calcium-rich diet:
Consuming foods rich in calcium, such as dairy products, leafy greens, and almonds, can support enamel remineralization.
- Green tea:
Drinking green tea, which contains compounds that inhibit the growth of bacteria and protect against enamel erosion, can be beneficial for your dental health.

Dental Care Products for Enamel Protection
Using dental care products specifically designed to protect enamel can also contribute to maintaining optimal dental health. Look for toothpaste and mouthwashes that contain fluoride and are labelled as enamel-strengthening or enamel-protection products. These can help strengthen the enamel and reduce the risk of erosion.


Conclusion
Enamel erosion can have significant implications for your dental health, but with proper knowledge and proactive measures, you can protect your teeth and maintain optimal oral health. By understanding the causes, symptoms, and preventative measures of enamel erosion, you can take the necessary steps to safeguard your enamel and enjoy a healthy, beautiful smile for years to come. Remember to practice good oral hygiene, make dietary and lifestyle changes, and consult your dentist regularly to ensure your teeth remain strong and protected. Your smile is worth it!
Sources:
- Healthline: Can tooth enamel grow back?
- Duggal, N. (2023, May 24). Can tooth enamel grow back? Healthline. Link
- Impact on Patient Quality of Life
- Lussi, A. (2006). Erosive Tooth Wear- A Multifactorial Condition of Growing Concern and Increasing Knowledge. Mongr Oral Sci. Basel, Karger 20: 1-8
- Dababneh RH et al. Dentine hypersensitivity- an enigma? A review of terminology, epidemiology, mechanisms, aetiology and management. Br Dent J 1999; 187: 606-611
- American Dental Association: “Oral Health Topics: A-Z,” “Are Your Teeth Sensitive?”
- Academy of General Dentistry: “Acid Attack: A Fact Sheet About Tooth Erosion,” “Erosion Control: the Effects of Tooth Erosion.”
- Nature: “Fluoride concentrations in developing enamel.”
- Journal of the American Dental Association: “Attrition, abrasion, corrosion and abfraction revisited: A new perspective on tooth surface lesions.”
Looking for a Cosmetic Dentist to enhance your smile but not sure what treatments would work for you?
Look no further than our No Obligation Cosmetic Smile Evaluation.
Our comprehensive evaluation, which includes a teeth assessment and head x-ray, equips our expert dentist Burwood to offer you personalized cosmetic treatment advice tailored to your oral health and facial structure. Aimed at enhancing your smile to its fullest potential, our no-obligation consultation will empower you with in-depth knowledge and recommendations.
Start your smile transformation journey today!