






Dentist Burwood > Dental Problems > Gum Disease
Gum Disease: Understanding the Silent Threat to Your Oral Health
Are your gums feeling sore and inflamed? You may be experiencing the early signs of gum disease. Gum disease, also known as periodontal disease, is a common oral health condition that affects millions of people worldwide. It is caused by the build-up of plaque on the teeth, which can lead to inflammation and infection of the gums. If left untreated, gum disease can progress and cause serious damage to the soft tissues and supporting structures of the teeth.
In this comprehensive guide, we will explore the causes, symptoms, and treatment options for gum disease. We will also discuss the importance of regular oral hygiene practices and dental check-ups in preventing and managing this condition. Whether you are dealing with mild gingivitis or advanced periodontitis, understanding gum disease is the first step towards maintaining a healthy smile. So keep reading to learn more about this prevalent oral health issue and how to keep your gums in tip-top shape.
What is Gum Disease?
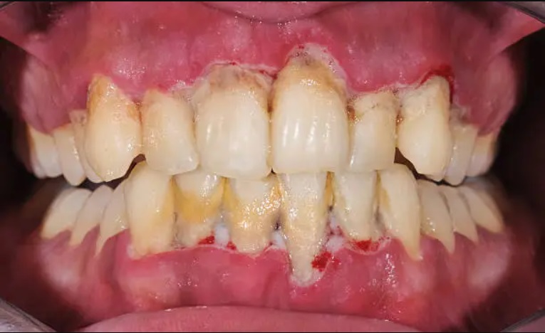
Gum disease, or periodontal disease, is a chronic bacterial infection that affects the gums and supporting structures of the teeth. It starts with the buildup of plaque, a sticky film of bacteria that forms on the teeth. When plaque is not removed through regular brushing and flossing, it hardens into tartar, which can only be removed by a dental professional. Tartar buildup irritates the gums, causing them to become red, swollen, and prone to bleeding. This early stage of gum disease is known as gingivitis.
If left untreated, gingivitis can progress to periodontitis, a more advanced form of gum disease. Periodontitis occurs when the infection spreads beneath the gum line, leading to the destruction of the supporting tissues and bone. As the disease progresses, pockets form between the gums and teeth, allowing more bacteria to accumulate. Without prompt treatment, this can result in tooth loss and other serious complications.


Causes and Risk Factors of Gum Disease
Gum disease is primarily caused by poor oral hygiene habits that allow plaque to accumulate on the teeth. However, several factors can increase the risk of developing gum disease. These include:
- Smoking:
Smoking not only weakens the immune system but also reduces blood flow to the gums, making it harder for the body to fight off infection.
- Hormonal changes:
Hormonal fluctuations during puberty, pregnancy, and menopause can make the gums more sensitive and prone to inflammation.
- Certain medications:
Some medications, such as oral contraceptives and anticonvulsants, can increase the risk of gum disease by affecting the flow of saliva or causing abnormal gum tissue growth.
- Genetics:
Some individuals may be genetically predisposed to developing gum disease, even with good oral hygiene practices.
- Diabetes:
People with diabetes are at a higher risk of developing gum disease due to impaired blood sugar control and a weakened immune system.
By understanding the causes and risk factors of gum disease, you can take proactive steps to minimise your risk and protect your oral health.
Types of Gum Disease
Gum disease is not a one-size-fits-all condition. There are different types and stages of gum disease, each with its own set of symptoms and treatment approaches. The two main types of gum disease are gingivitis and periodontitis.
Gingivitis
Gingivitis is the mildest form of gum disease and is characterised by inflamed, swollen gums that may bleed during brushing or flossing. It is usually caused by poor oral hygiene habits, allowing plaque to accumulate on the teeth and irritate the gums. The good news is that gingivitis is reversible with proper oral care and professional dental cleanings. By improving your brushing and flossing techniques and visiting your dentist regularly, you can effectively manage and prevent the progression of gingivitis.
Periodontitis
Periodontitis is an advanced form of gum disease that occurs when gingivitis is left untreated. It involves the inflammation and infection of the supporting structures of the teeth, including the gums, bone, and ligaments. As periodontitis progresses, the pockets between the gums and teeth deepen, allowing bacteria to thrive and cause further damage. Without intervention, periodontitis can lead to tooth loss and other complications. Treatment for periodontitis usually involves a combination of professional deep cleaning procedures, medication, and, in severe cases, surgery. Early detection and treatment are crucial to prevent irreversible damage and maintain a healthy smile.

Symptoms of Gum Disease
Recognising the signs and symptoms of gum disease is essential for early detection and treatment. While some people may experience mild symptoms or no symptoms at all, others may notice the following warning signs:
- Red, swollen gums:
Healthy gums should be pink and firm, not red and puffy.
- Bleeding gums:
Gums that bleed easily, especially during brushing or flossing, may indicate the presence of gum disease.
- Persistent bad breath:
Chronic bad breath that is not improved by oral hygiene practices may be a sign of gum disease.
- Receding gums:
Gums that appear to be pulling away from the teeth, making the teeth look longer, can be a sign of gum disease.
- Pain or sensitivity:
Gum disease can cause discomfort, pain, or increased sensitivity to hot or cold foods and beverages.
If you experience any of these symptoms, it is important to consult your dentist for a thorough examination and appropriate treatment.
The Link Between Gum Disease and Overall Health
Gum disease is not just a threat to your oral health; it can also have far-reaching consequences for your overall well-being. Research has shown that gum disease is associated with an increased risk of several systemic conditions, including:
- Heart disease:
The bacteria that cause gum disease can enter the bloodstream and contribute to the formation of plaques in the arteries, increasing the risk of heart disease and stroke.
- Diabetes:
Gum disease can make it more difficult for people with diabetes to control their blood sugar levels, leading to complications.
- Respiratory infections:
The bacteria in the mouth can be inhaled into the lungs, potentially causing respiratory infections and worsening existing lung conditions.
- Pregnancy complications:
Pregnant women with gum disease have a higher risk of preterm birth and low birth weight babies.
By maintaining good oral hygiene and seeking prompt treatment for gum disease, you can help reduce the risk of these systemic health issues and protect your overall well-being.
Prevention and Home Care for Gum Disease
Preventing gum disease starts with maintaining a consistent and thorough oral hygiene routine. Here are some essential steps you can take to keep your gums healthy:
- Brushing:
Brush your teeth at least twice a day using a soft-bristled toothbrush and fluoride toothpaste. Be sure to brush along the gumline to remove plaque and bacteria.
- Flossing:
Floss daily to remove plaque and food particles from between your teeth and along the gumline. If traditional flossing is challenging, consider using floss picks or interdental brushes.
- Mouthwash:
Rinse with an antimicrobial mouthwash to help kill bacteria and freshen your breath. Look for mouthwashes specifically designed for gum health.
- Healthy diet:
Eat a balanced diet rich in fruits, vegetables, whole grains, and lean proteins. Limit your intake of sugary and acidic foods, which can contribute to plaque buildup.
- Avoid tobacco products:
Smoking and chewing tobacco increase the risk of gum disease and can impair the success of treatment.
In addition to these home care practices, it is crucial to visit your dentist regularly for professional cleanings and check-ups. Your dentist can detect early signs of gum disease and provide personalised recommendations to keep your oral health in check.
Professional Treatments for Gum Disease
If you are diagnosed with gum disease, your dentist will recommend appropriate treatments based on the severity of your condition. Here are some common professional treatments for gum disease:
- Scaling and root planing:
This non-surgical procedure involves removing plaque and tartar from above and below the gumline. The root surfaces are then smoothed to promote proper healing and prevent future plaque buildup.
- Antibiotics:
Antibacterial medications may be prescribed to control infection and reduce inflammation. They can be taken orally or applied topically, depending on the severity of the gum disease.
- Laser therapy:
In some cases, laser therapy may be used to remove diseased tissue and promote gum reattachment. Laser therapy is less invasive and may result in a faster recovery time.
- Surgical intervention:
In advanced cases of gum disease, surgical procedures such as gum grafting, bone grafting, or guided tissue regeneration may be necessary to restore gum and bone health.
Your dentist will tailor the treatment plan to your specific needs, aiming to control the infection, prevent further damage, and restore your oral health.
How to Choose the Right Dentist for Gum Disease Treatment
Choosing the right dentist for gum disease treatment is crucial for effective care and long-term oral health. Here are some factors to consider when selecting a dentist:
- Experience and expertise:
Look for a dentist who has experience in diagnosing and treating gum disease. They should be knowledgeable about the latest techniques and technologies in periodontal care.
- Patient testimonials and reviews:
Read reviews and testimonials from previous patients to gauge the quality of care provided by the dentist.
- Comfort and communication:
Choose a dentist who makes you feel comfortable and takes the time to listen to your concerns. Effective communication is essential for a successful patient-dentist relationship.
- Location and convenience:
Consider the location and office hours of the dental practice. Regular follow-up visits are necessary for gum disease treatment, so choose a dentist who is easily accessible
Complications of Untreated Gum Disease
Ignoring gum disease can have serious consequences for your oral health and overall well-being. Here are some potential complications of untreated gum disease:
- Tooth loss:
The destruction of the supporting structures of the teeth can eventually lead to tooth loss.
- Bone loss:
Advanced gum disease can cause the bone supporting the teeth to deteriorate, leading to changes in facial appearance and difficulty chewing.
- Abscesses:
Pockets of pus can form in the gums or the roots of the teeth, causing pain, swelling, and infection.
- Systemic health issues:
As mentioned earlier, gum disease has been linked to an increased risk of heart disease, diabetes complications, respiratory infections, and pregnancy complications.
Preventing these complications starts with early detection and treatment of gum disease. By prioritising your oral health and seeking appropriate care, you can avoid potentially irreversible damage and maintain a healthy smile.

Conclusion: Importance of Early Detection and Treatment of Gum Disease
Gum disease is a common oral health condition that can have serious consequences if left untreated. By understanding the causes, symptoms, and treatment options for gum disease, you can take proactive steps to protect your oral health and overall well-being. Remember to maintain a consistent oral hygiene routine, visit your dentist regularly, and seek prompt treatment if you notice any signs of gum disease. Your smile is worth the effort, so prioritise your gum health and enjoy a lifetime of healthy teeth and gums.
Sources
- Centers for Disease Control and Prevention. (n.d.). Periodontal Disease.
- National Institute of Dental and Craniofacial Research. (n.d.). Gum Disease.
- American Academy of Periodontology. (n.d.). Gum Disease and Related Conditions.
Looking for a Cosmetic Dentist to enhance your smile but not sure what treatments would work for you?
Look no further than our No Obligation Cosmetic Smile Evaluation.
Our comprehensive evaluation, which includes a teeth assessment and head x-ray, equips our expert dentist Burwood to offer you personalized cosmetic treatment advice tailored to your oral health and facial structure. Aimed at enhancing your smile to its fullest potential, our no-obligation consultation will empower you with in-depth knowledge and recommendations.
Start your smile transformation journey today!